목요일, 2월 26, 2026
spot_img
Home손목결절종발산역정형외과 손목 결절종 수술해야 할까? 증상과 치료 기준 완벽 정리

발산역정형외과 손목 결절종 수술해야 할까? 증상과 치료 기준 완벽 정리

발산역정형외과 손목 결절종 수술 키워드로 검색하셨다면, 현재 손목에 만져지는 혹 때문에 많은 고민을 하고 계실 가능성이 큽니다.

말랑말랑한 혹이 만져지는데 아프지는 않고, 그렇다고 그냥 두기엔 점점 커지는 것 같고, 혹시 큰 병은 아닐지 걱정되시는 분들도 많으실 텐데요.

이 글에서는 손목 결절종의 정확한 원인과 증상, 치료 방법 비교, 수술이 필요한 경우, 최근 시행되는 내시경 수술 특징까지 발산역정형외과 진료 기준에 맞춰 체계적으로 정리해 드리겠습니다.

발산역정형외과 손목 결절종 수술해야 할까? 증상과 치료 기준 완벽 정리

손목 결절종이란 무엇인가요

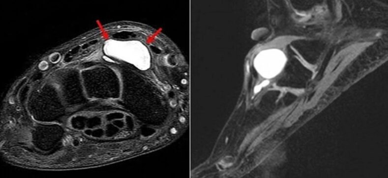
손목 결절종은 관절이나 힘줄을 감싸고 있는 조직에서 젤리 같은 점액 성분이 새어 나와 한곳에 고이면서 혹처럼 부풀어 오르는 질환입니다.

가장 흔하게 발생하는 부위는 손목이지만 다음 부위에서도 발견될 수 있습니다.

  • 손목 앞쪽 또는 손등
  • 손가락 마디
  • 발목 관절
  • 무릎 주변 관절

만져보면 말랑하거나 약간 단단한 느낌이 들며, 내부에는 투명한 점액이 차 있는 것이 특징입니다.

발산역정형외과 손목 결절종 수술해야 할까? 증상과 치료 기준 완벽 정리

손목 결절종 주요 증상

손목 결절종은 초기에는 특별한 증상이 없는 경우가 많습니다. 그러나 크기가 커지거나 위치에 따라 다음과 같은 증상이 동반될 수 있습니다.

  • 손목에 말랑한 혹이 만져짐
  • 손목 사용 시 뻐근한 통증
  • 특정 각도에서 찌릿한 신경통
  • 손에 힘이 빠지는 느낌
  • 관절 움직임 제한

특히 손목을 많이 사용하는 직업군이나 운동을 즐기는 분들일수록 불편감이 빠르게 나타날 수 있습니다.

손목 결절종이 생기는 원인

손목 결절종의 가장 큰 원인은 관절과 힘줄의 반복 사용입니다.

다음과 같은 생활 습관에서 발생 빈도가 높습니다.

  • 장시간 키보드·마우스 사용
  • 스마트폰 사용 과다
  • 무거운 물건 반복 작업
  • 골프·테니스·헬스 등 손목 사용 운동
  • 손목을 자주 꺾는 직업 환경

이러한 반복 자극으로 관절막이 약해지면서 내부 점액이 밖으로 밀려나와 결절종이 형성됩니다.

발산역정형외과 손목 결절종 수술해야 할까? 증상과 치료 기준 완벽 정리

손목 결절종 꼭 치료해야 할까요

많은 분들이 가장 걱정하시는 부분은 다음 질문입니다.

혹시 암은 아닌가요?

결론부터 말씀드리면 손목 결절종은 악성 종양이 아닙니다.

생명에 위협을 주는 질환은 아니며, 통증이나 기능 제한이 없다면 반드시 치료가 필요한 것은 아닙니다.

다만 아래와 같은 경우라면 치료를 고려하시는 것이 좋습니다.

발산역정형외과 손목 결절종 수술해야 할까? 증상과 치료 기준 완벽 정리

적극적인 치료가 필요한 경우

  • 통증이 지속되는 경우
  • 결절종이 신경을 눌러 저림이 있는 경우
  • 손목 힘이 약해지는 경우
  • 관절 움직임이 불편한 경우
  • 외관상 스트레스가 큰 경우
  • 주사 치료 후 반복적으로 재발하는 경우

이러한 증상이 동반된다면 단순 관찰보다는 전문 진료가 필요합니다.

손목 결절종 치료 방법 비교

구분 주사 흡입 치료 수술 치료
치료 방식 점액 제거 뿌리까지 제거
시술 시간 매우 짧음 약 10~20분
흉터 없음 내시경 시 최소
재발률 높음(60~70%) 낮음
회복 기간 즉시 1~2주
권장 대상 초기·무증상 재발·통증·신경압박

주사 흡입 치료의 특징

주사기로 결절종 내부의 점액을 제거하는 방식입니다.

장점

  • 시술이 간단함
  • 흉터가 거의 없음
  • 외래에서 가능

단점

  • 결절종의 뿌리를 제거하지 못함
  • 재발 확률이 매우 높음

일시적인 크기 감소 효과는 있으나, 근본 치료는 어렵습니다.

수술 치료가 필요한 경우

다음과 같은 상황이라면 수술적 치료를 고려하게 됩니다.

  • 2회 이상 재발한 경우
  • 통증이 지속되는 경우
  • 신경 압박 증상이 있는 경우
  • 결절종 크기가 계속 증가하는 경우

특히 반복 재발 시에는 수술이 가장 효과적인 치료 방법입니다.

발산역정형외과 내시경 결절종 수술 특징

최근에는 기존 절개 수술의 단점을 보완한 손목 내시경 경피적 수술이 시행되고 있습니다.

내시경 수술의 주요 장점

  • 1mm 내외 초소형 내시경 사용
  • 피부 절개 최소화
  • 결절종 뿌리까지 제거
  • 국소마취로 진행
  • 평균 수술 시간 약 11분
  • 당일 수술·당일 퇴원 가능
  • 깁스 및 장기 고정 불필요
  • 흉터 거의 없음

회복 속도가 빠르기 때문에 직장인, 자영업자, 학생분들께 선호도가 높습니다.


손목 결절종 치료 흐름 정리

  1. 진료 및 촉진 검사
  2. 초음파 검사로 정확한 위치 확인
  3. 크기·통증·재발 여부 판단
  4. 주사 치료 또는 수술 결정
  5. 치료 후 경과 관찰

무작정 수술을 결정하기보다 현재 상태에 맞는 치료 선택이 가장 중요합니다.


자주 묻는 질문 FAQ

Q1. 손목 결절종은 자연적으로 없어질 수 있나요?

일부 결절종은 시간이 지나면서 자연적으로 크기가 줄거나 사라지기도 합니다. 다만 손목 사용이 반복될 경우 다시 커질 수 있으므로 정기적인 관찰이 중요합니다.


Q2. 결절종을 눌러 터뜨리면 안 되나요?

강제로 누르거나 터뜨리는 행위는 감염, 염증, 조직 손상 위험이 있어 매우 위험합니다. 반드시 전문 의료진의 진단을 통해 치료하셔야 합니다.


Q3. 결절종 수술 후 재발 가능성은 있나요?

완전 절제 수술을 시행할 경우 재발률은 매우 낮습니다. 단순 흡입 치료보다 수술 치료의 재발률이 훨씬 낮습니다.


Q4. 수술 후 일상생활은 언제부터 가능한가요?

내시경 수술의 경우 대부분 1~2주 이내 일상생활이 가능하며, 가벼운 손 사용은 수술 직후부터도 가능합니다.


Q5. 결절종을 오래 방치하면 위험한가요?

대부분 위험하지는 않지만, 크기가 커질 경우 신경 압박으로 통증과 기능 저하가 발생할 수 있어 증상이 있다면 조기 진료가 권장됩니다.

손목결절종 수술 후기, 두팔로정형외과에서 달라진 일상

관련내용

최신글